Спорное исследование перерисовывает классическую картину нейрона
Если открыть любой учебник по нейробиологии, и описание нейрона будет примерно таким: кляксообразное, амебоподобное тело клетки, выпускающее длинную, толстую нить. Эта нить — аксон, который проводит электрические сигналы к терминалам, где клетка общается с другими нейронами. Аксоны долгое время изображались гладкими и цилиндрическими, но новое исследование нейронов мышей ставит под сомнение эту точку зрения. Вместо этого оно предполагает, что их естественная форма больше похожа на нить жемчуга. Еще более провокационно авторы предполагают, что эти жемчужные выпуклости служат ручками управления, влияя на то, как быстро и точно клетка подает свои сигналы.
Исследование, опубликованное в Nature Neuroscience, должно «на 100%» изменить то, как мы думаем о нейронах и их сигналах, говорит старший автор Шигеки Ватанабе, молекулярный нейробиолог из Университета Джона Хопкинса. Некоторые с этим согласны. Результаты «крайне значимы, и я думаю, что их игнорировали в течение довольно долгого времени», говорит эволюционный биолог Павел Буркхардт из Университета Бергена, который недавно обнаружил похожие жемчужные структуры в нейронах крошечных морских беспозвоночных, известных как гребневики.
Однако несколько экспертов в этой области оспаривают результаты. Некоторые ссылаются на потенциальные искажающие эффекты метода подготовки и заморозки, используемого для сохранения клеток перед визуализацией. А некоторые сомневаются, что работа полностью переворачивает то, что известно об истинной форме аксона. «Я думаю, это правда, что [аксон] не является идеальной трубкой, но это не просто такой вид аккордеона, который они показывают», — говорит нейробиолог Кристоф Летерье из Университета Экс-Марсель, который называет исследование «спорным дополнением к литературе».
С середины 1960-х годов микроскописты увидели, что аксоны могут сморщиваться, образуя шарики, когда они больны или находятся под другим стрессом. Летерье назвал эти временные шарики « стрессовыми шариками для мозга » и нашел доказательства того, что они предотвращают распространение клеточного повреждения. Другие исследования показывают, что даже нормальные аксоны временно выпячиваются, когда груз, перемещающийся к ядру клетки и от него, образует пробку.
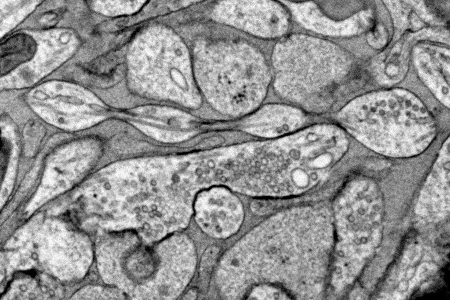
Но Жаклин Грисволд из лаборатории Ватанабе, обнаружила нечто иное в нейронах мышей, сохраненных с помощью техники, называемой заморозкой под высоким давлением. По ее словам, этот метод позволяет сохранить «тонкую структуру очень, очень маленьких частей клеток» лучше, чем химические фиксаторы, обычно используемые в микроскопии. Она применила эту технику как к нейронам мышей, выращенным в чашке, так и к образцам из сверхтонких срезов мозга взрослой и эмбриональной мыши. (Группа изучала подмножество нейронов, которые не миелинизированы, то есть они не обернуты во внешний, изолирующий жировой слой, который может ограничивать форму аксона.)
Используя электронный микроскоп, она заметила равномерно расположенные маленькие жемчужины диаметром около 200 нанометров вдоль аксонов мыши. Капли были меньше и более равномерно расположены, чем стрессовые шарики Летерье, и они ничего не содержали, что предполагает, что они не были результатом клеточных пробок.
Это открытие перекликается с другими: Ватанабе заметила похожие жемчужины аксонов у круглых червей в 2013 году, но не стала исследовать их дальше, а Буркхардт недавно увидела их у гребневиков. Грисволд также говорит, что видела жемчужины аксонов в мозговой ткани человека, обработанной методом заморозки под высоким давлением, хотя она и ее коллеги еще не опубликовали это открытие.
«Сама по себе форма бусинок не удивительна», — говорит Прамод Пулларкат, биофизик из Raman Research Institute. Он изучал силы, участвующие в аксональном бусинообразовании , и говорит, что все больше исследований предполагают, что эта форма может появляться из-за «жемчужной нестабильности» — физического явления, при котором цилиндрическая везикула под напряжением сминается. Вполне может быть, что эта жемчужная форма является нормальным состоянием аксонов, говорит он, но для получения окончательного ответа необходимы дополнительные исследования.
Феномен жемчужного лова, вероятно, сохраняется на протяжении миллионов лет, говорит Буркхардт. Он считает, что жемчужное лова, вероятно, имеет функциональное назначение, и новые эксперименты дают подсказку.
Скорость, с которой электрический сигнал распространяется по аксону, зависит от сложного взаимодействия его формы, диаметра и рисунка жемчужин. Команда Ватанабе смоделировала это взаимодействие математически, а также записала скорость проведения сигнала в реальных нейронах мыши с разной степенью жемчужин. В обоих случаях они обнаружили, что сигналы были медленнее, когда жемчужины аксона были меньше и располагались плотнее, тогда как более широкое расстояние между жемчужинами приводило к более быстрым сигналам. Это говорит о том, что мозг может изменять тонкую форму нейронов, чтобы улучшить сигнализацию, когда ему нужно вычислить большой объем информации, говорит Ватанабе. Но как именно мозг может контролировать жемчужины, пока не ясно.
«Морфология аксонов у живых животных постоянно и динамично меняется», — говорит нейробиолог Тонг Ван из Шанхайского технологического университета, изучавшая образование бусин в больных нейронах. Она не удивлена тем, что аксонные бусины могут влиять на проводимость сигнала, и называет это открытие «убедительным» открытием, которое дополняет механизмы, делающие мозг таким адаптивным.
Но другие эксперты утверждают, что жемчужины, обнаруженные командой Ватанабе, являются побочным эффектом повреждения клеток. «Хотя быстрое замораживание — чрезвычайно быстрый процесс, что-то может произойти во время манипуляций с образцом… что также вызывает образование бусинок», — говорит нейробиолог Пьетро Де Камилли из Йельской школы медицины, который не принимал участия в исследовании. Клеточный биолог Джон Хойзер из Вашингтонской школы медицины в Сент-Луисе также считает, что образование бусинок — артефакт процесса подготовки. «Аксоны могут стать такими… но они также могут восстановиться после этого, они могут снова стать похожими на обычные трубки».
Однако Гризволд говорит, что она также задокументировала жемчужины в живых нейронах, полученных с помощью техники, которая не требует ни замораживания, ни химических фиксаторов. И она показала, что параформальдегид, используемый для подготовки образцов для стандартной микроскопии, вносит свои собственные артефакты: его применение приводит к исчезновению жемчужин. Это может объяснить, почему предыдущие исследования задокументировали более цилиндрическую форму, говорит она.
«Определенно были люди, которые говорили: «Нет, это не может быть правдой», — говорит Грисволд. Но она добавляет: «Мы опубликовали все наши эксперименты — проверьте сами».
В конечном итоге эти результаты «открывают дверь» для лучшего понимания всех различных типов аксонных жемчужин, говорит биофизик Джошуа Циммерберг из Национального института здравоохранения. Но для него большой вопрос все еще остается открытым. «Влияет ли жемчуг на мои мыслительные процессы?» — это то, что каждый хотел бы знать».
Без возможности наблюдать за мелкозернистыми структурами нейронов, пока они активны в живом человеческом мозге, «у нас нет достаточно мощной технологии, чтобы ответить на него напрямую», — говорит Циммерберг. На данный момент работа команды Ватанабе «настолько близка, насколько это возможно».
Читайте также:
