Ученые обнаружили новую часть клетки одного из самых изученных животных на Земле
Фосфат-регулирующая органелла впервые обнаружена у животных. До сих пор о наличии таких характеристик было известно только относительно бактерий и растений. Теперь же ученые расширили этот список. Несмотря на то, что ученые изучают плодовых мушек (Drosophila melanogaster) уже более века, обнаружение органеллы у насекомого оказалось возможным только сейчас. Теперь исследователи ретроспективно смотрят на более старые данные в поисках этих неуловимых частей клетки.
Органеллы — это микроскопические структуры внутри клеток, выполняющие специализированные функции, многие из которых связаны с фосфатом — важным питательным веществом для метаболизма, хранения химической энергии и синтеза ДНК.
«О внутриклеточной регуляции фосфатов у животных известно очень мало», — сказал один зи авторов исследования Чарльз Сюй.
В отчете, который был опубликован в журнале Nature, отмечается, что органелла, обнаруженная в кишечнике плодовой мушки, изолирует фосфат из пищи и регулирует его доступность в клетке.
Плодовая мушка — один из наиболее изученных модельных организмов или нечеловеческих видов, используемых для изучения фундаментальной биологии.
«Удивительно, что в модельных организмах мы по-прежнему каждый день обнаруживаем вещи, о которых раньше никто не подозревал», — отмечают ученые.
Работа Сюй и его коллег началась с изучения того, как поглощение фосфатов во время пищеварения влияет на обновление тканей в кишечнике плодовых мушек. Когда они кормили мух пищей с низким содержанием фосфатов или давали мухам лекарство, подавляющее всасывание фосфатов, исследователи заметили кое-что парадоксальное: несмотря на малое количество фосфатов, клетки, выстилающие кишечник плодовой мушки, быстро размножались. Клетки также яростно размножались, когда команда подавила белок, известный как регулирующий транспорт фосфатов внутри клеток, называемый PXo.
Чтобы глубже изучить роль PXo, команда объединила его с флуоресцентным белком и вгляделась в флуоресцентный микроскоп, чтобы обнаружить, что он расположен на овальных структурах в клетке. Именно тогда команда сделала свое случайное открытие: они использовали различные красители для известных органелл, чтобы попытаться идентифицировать эти овальные структуры, но обнаружили, что ни одно окрашивание не работает, и поняли, что наткнулись на новую органеллу.
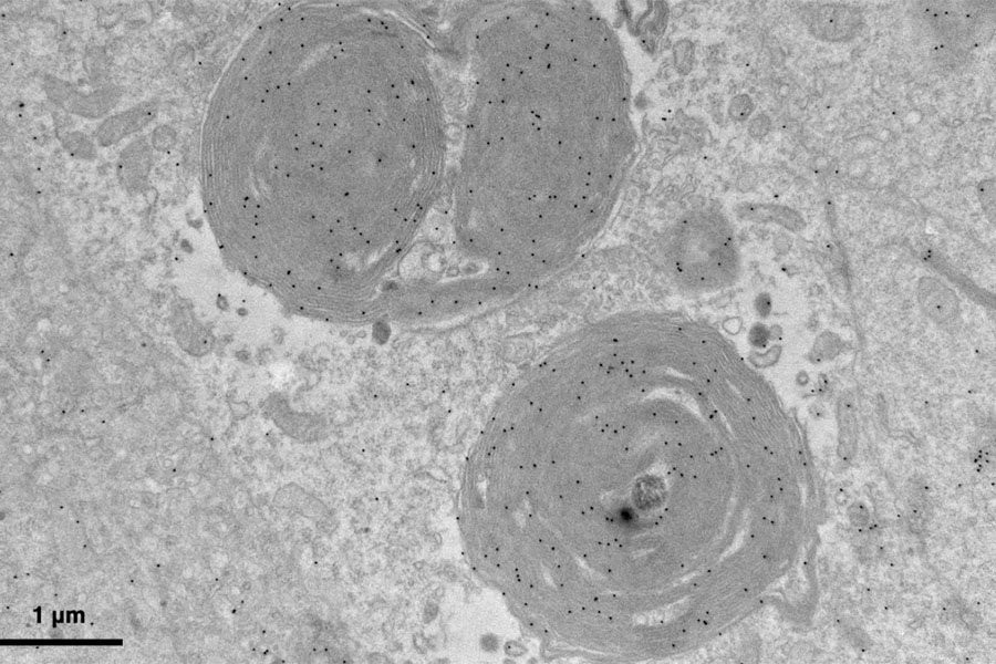
Они назвали вновь обнаруженные органеллы «тельцами PXo» и использовали электронную микроскопию для изучения их строения, выявляя мембранные завитки или спирали. Эти завитки были усеяны белками PXo, которые транспортируют фосфат из цитоплазмы — жидкости, окружающей органеллы — в тела PXo для хранения, тем самым регулируя поступление фосфата, доступного для клеточных функций.
«Кишечник является важной тканью для поглощения питательных веществ», что может объяснить, почему тела PXo в основном обнаруживались там, где они могли контролировать поступление фосфатов в остальную часть тела, сказал Сюй.
Серууд сказал, что результаты были точными, потому что команда «систематически использовала разные подходы, чтобы показать одно и то же», а именно, что белок PXo был неразрывно связан с недавно обнаруженными органеллами. Однако он не был убежден в том, что деление клеток ускоряется, когда ограничено необходимое для роста питательное вещество, и утверждал, что эта гипотеза нуждается в дополнительной проверке. Однако Сюй утверждал, что обновление клеток может помочь увеличить поглощение фосфатов при их дефиците.
«Я бы не сказал, что мы нашли эту органеллу из ниоткуда», — заметил Сюй, но новые методы исследования позволили его команде охарактеризовать мембранные завитки, которые ранее упускались из виду.
Сюй и его коллеги идентифицировали несколько белков, которые взаимодействуют с PXo, и планируют расшифровать, какую роль они играют в регуляции транспорта фосфатов в недавно названную органеллу.
Читайте также:
